Tin chuyên ngành
on Wednesday 15-04-2015 7:49am
Danh mục: Sản khoa & nhi sơ sinh
GS. TS. Vương Tiến Hòa
Đại học Y Hà Nội
TÓM TẮT
Thai dưới gan là một hình thái đặc biệt, tuy hiếm gặp nhưng nguy hiểm cho bệnh nhân và thường được chẩn đoán muộn.
Mục tiêu nghiên cứu
- Mô tả triệu chứng lâm sàng, xét nghiệm chẩn đoán thai dưới gan.
- Phân tích về chẩn đoán và xử trí thai dưới gan.
Phương pháp nghiên cứu
Phân tích các bệnh án qua y văn của các nghiên cứu (phân tích gộp – meta-analysis):
- Phần lớn các trường hợp đều được chẩn đoán muộn với hội chứng cấp cứu ngoại khoa chảy máu trong. Các triệu chứng lâm sàng xuất hiện ở vùng hạ sườn phải với hội chứng gan – tiêu hóa hoặc dạ dày ruột.
- Khai thác tiền sử không tốt nên bỏ qua các triệu chứng về thai nghén, dẫn đến khối thai vỡ gây chảy máu trong.
- Khi nồng độ β-hCG cao mà tiểu khung bình thường, không thấy khối thai cần phối hợp siêu âm, CT, MRI để chẩn đoán thai dưới gan.
- Khi can thiệp mở bụng, cần phối hợp với bác sĩ ngoại khoa, hồi sức tích cực, dự trữ truyền máu tốt. Khi can thiệp, nên để lại bánh nhau và sử dụng methotrexate (MTX).
- Khi được chẩn đoán sớm, khối thai nhỏ nên được điều trị bằng MTX.
ĐẶT VẤN ĐỀ
Thai trong ổ bụng (TTOB) là trứng làm tổ ngoài tử cung. Theo Martine (1998), tần suất TTOB là 1/5.000-11/10.000 cuộc sinh. Theo White RG, tỉ lệ TTOB từ 1% đến 1,4% trong các thể thai ngoài tử cung (TNTC). Nói chung, tỉ lệ thay đổi tùy theo từng tác giả và nghiên cứu. TTOB rất hiếm gặp nhưng nguy cơ tử vong và bệnh lý cho mẹ và con rất cao mà nguyên nhân tử vong mẹ hàng đầu là chảy máu. Thai dưới gan là một trong những hình thái của TTOB. Cornell và Lash (1933), báo cáo 8 trường hợp bánh nhau dính vào gan trong một loạt 236 trường hợp TNTC. Studdiford (1942) đưa khái niệm thai dưới gan là một hình thái thai trong ổ bụng. Kirby (1969) mô tả nhau bám vào gan. Luwiliza-Kirunda (1978) báo cáo một trường hợp thai đá (lithopedion) đã hình thành từ một thai dưới gan. Thai dưới gan rất hiếm gặp nhưng thường phát hiện muộn do không nghĩ đến và xử trí bị động lại liên quan đến gan cho nên mất máu nhiều, vì vậy nguy cơ tử vong cho mẹ và con cao, ảnh hưởng đến sức khỏe và chi phí rất cao.
MỤC TIÊU VÀ PHƯƠNG PHÁP NGHIÊN CỨU
- Mô tả các triệu chứng lâm sàng và xét nghiệm chẩn đoán thai dưới gan.
- Phân tích chẩn đoán và xử trí.
- Phương pháp nghiên cứu: báo cáo trường hợp (case report) - Phân tích các bệnh án qua y văn của các nghiên cứu (Phân tích gộp – meta-analysis)
KẾT QUẢ
Bệnh án 1
Bệnh nhân Đỗ Thị Hải Y. 38 tuổi, PARA 2002, sống tại Ninh Bình; tiền sử nội ngoại khoa bình thường; hành kinh đúng ngày dự kiến, nhưng số lượng ít. Ngày 05/08/2008, bệnh nhân đau bụng đột ngột, không nôn, không sốt, có dấu hiệu choáng. Bệnh viện Ninh Bình nghi TNTC vỡ, chuyển đến Bệnh viện Phụ Sản Trung ương trong tình trạng không choáng, mạch 80/phút, huyết áp 100/70mmHg, nhịp thở 19 lần/phút. Bụng có phản ứng. Âm đạo có máu đỏ thẫm, cổ tử cung đóng kín, tử cung to hơn bình thường, di động dễ, phần phụ không có khối, cùng đồ sau đầy, ấn đau, chọc ra máu không đông. Siêu âm nhiều dịch trong ổ bụng. Chỉ định mổ vì chảy máu trong nghi TNTC vỡ. Nội soi, ổ bụng có >1.000mL máu, tử cung và phần phụ bình thường. Dưới gan có khối ở hạ phân thùy VI đang chảy máu, chuyển mổ mở. Mở bụng đường dưới bờ sương phải, khối hạ phân thùy VI 3x4cm đã tổ chức hóa, màu vàng nhạt, vỡ, đang chảy máu. Kích thước ổ vỡ 2x1,5x1cm. Cắt gan hạ phân thùy VI. Khâu cầm máu. Giải phẫu bệnh: trong vùng chảy máu có thấy nhiều gai nhau có cấu trúc hình thái trong giới hạn bình thường. Các gai nhau bám vào nhu mô gan làm mất vỏ Glison. Bệnh nhân ra viện sau 22 ngày. β-hCG sau mổ 1 ngày (09/05/2008): 11.730,7 IU/L, sau mổ 1 tuần (15/05/2008): 294,8 IU/L, giảm 40 lần so với khi vào viện.
![]() ![]() |
|
|
Hình 1. Hình ảnh gai nhau và nguyên bào nuôi ở nhu mô gan |
|
![]() |
![]() |
|
Hình 2. Hình ảnh nguyên bào nuôi ở nhu mô gan (BA1) |
|
Bệnh án 2
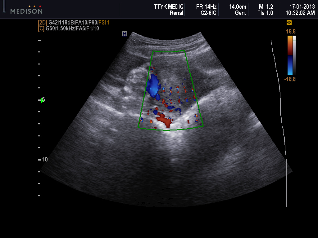
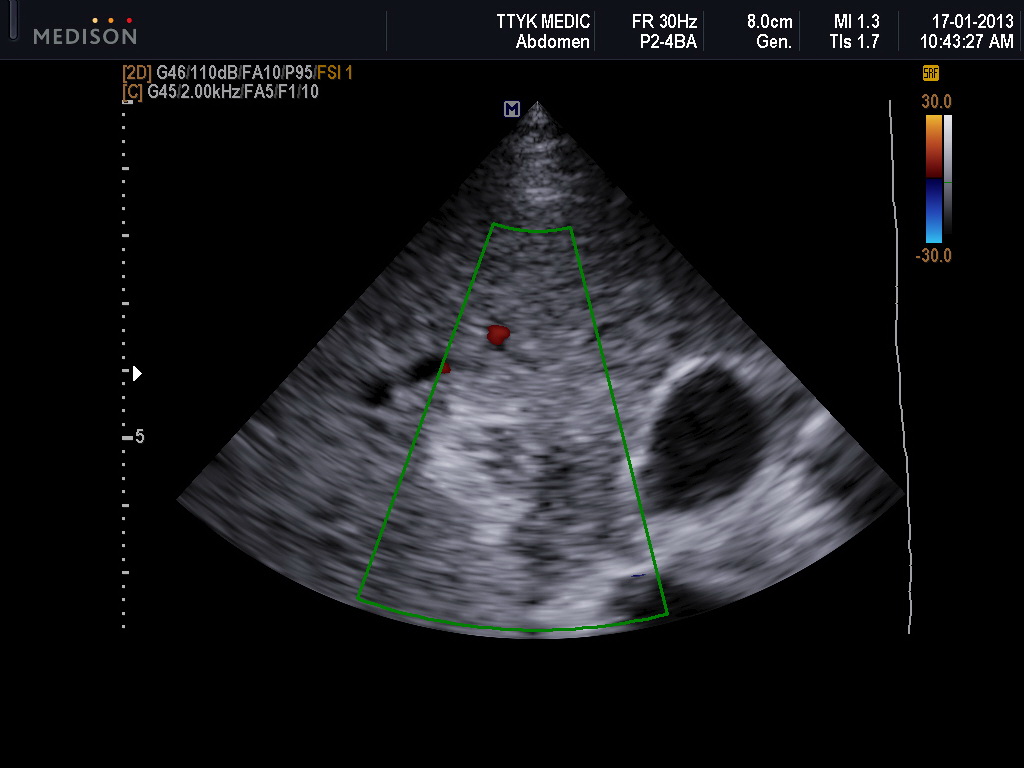
Bệnh nhân nữ 30 tuổi, PARA 1011, tiền sử mổ TNTC ở vòi tử cung bên phải; kinh nguyệt đều, vòng kinh 30 ngày. Bệnh nhân bị chậm kinh một tháng, đau âm ỉ hạ sườn phải 1 tháng, không ra máu âm đạo. Bệnh viện Phụ Sản Hà Nội nghi u nguyên bào nuôi và chuyển đến Bệnh viện Phụ Sản Trung ương. Xét nghiệm β-hCG: 73.047 IU/L; siêu âm Doppler: dưới gan có hình ảnh túi thai d=35mm, chiều dài phôi: 22mm, tim thai (+). Chẩn đoán thai dưới gan. Nội soi: khối thai 3cm nằm ở cạnh phải túi mật, gần tĩnh mạch cửa. Bóc khối thai và cầm máu bằng dao điện và chèn Spongel. Xét nghiệm β-hCG sau 72 giờ: 14.109 IU/L. Giải phẫu bệnh: gai nhau điển hình.
![]() |
| Hình 3. Hình ảnh siêu âm của bệnh án 2 |
![]() |
| Hình 4. Hình ảnh thai dưới gan khi nội soi (bệnh án 2) |
Bệnh án 3
Phạm Thị Hồng H. 28 tuổi, sinh sống tại Hà Nội. Bệnh viện Việt Đức chuyển đến Bệnh viện Phụ Sản Trung ương 21 giờ ngày 27/06/2013 nghi TNTC, PARA 0020. Tiền sử bệnh nhân: TNTC 1 lần được mổ và điều trị bằng MTX, thai lưu 8 tuần; vào viện có hội chứng choáng, da xanh, mạch 110 lần/phút, huyết áp 80/60mmHg, bụng chướng, mềm. Phản ứng thành bụng (+), âm đạo không có máu, cổ tử cung bình thường, tử cung di động đau, phần phụ không có khối, cùng đồ sau đầy, ấn đau. Siêu âm bụng đầy dịch. β-hCG 4.444 UI/L. Siêu âm: gan không to, nhu mô gan đều, khoang gan-thận có cấu trúc tăng âm thành dải, dày 24mm (theo dõi máu cục). Tử cung kích thước không to, mật độ cơ tử cung đều, niêm mạc 8mm, không thấy túi thai trong tử cung. Sát buồng trứng phải có khối âm vang không đồng nhất, kích thước 14x15mm. Ổ bụng nhiều dịch tự do. Bệnh nhân được chẩn đoán TNTC vỡ, mổ cấp cứu. Nội soi: trong ổ bụng có >2.500mL máu. Tử cung bình thường, phần phụ trái bình thường, vòi tử cung phải đã cắt. Dưới gan có nhiều máu cục và máu đỏ tươi. Bác sĩ Bệnh viện Việt Đức được mời đến khám và mở bụng đường trắng giữa trên và dưới rốn bệnh nhân. Máu chảy chủ yếu dưới gan. Cắt dây chằng tam giác và dây chằng liềm: thấy khối 1x2cm sát hạ phân thùy VII, màu tím, nằm dưới cơ hoành, sát ngay tĩnh mạch chủ sau gan đang chảy máu. Lấy khối thai, khâu cầm máu bằng chỉ vicryl polyen 5.0.
Giải phẫu bệnh: trên mảnh cắt thấy nhiều tơ huyết, cấu trúc gai nhau hình thái bình thường. Kết luận: gai nhau thường. Bệnh nhân được truyền 8 đơn vị máu. Sau mổ 2 ngày (29/06/2013): β-hCG 1.108,7 UI/L. Sau 1 tuần, bệnh nhân ra viện.
Bệnh án 4
Bệnh nhân Lê Thị L. 27 tuổi, sống tại Rạch Giá được Bệnh viện đa khoa Kiên Giang chuyển đến Bệnh viện Từ Dũ lúc 23 giờ 30 phút ngày 27/08/2007; đã sinh 1 lần tại Bệnh viện Từ Dũ vào năm 2001. Trước nhập viện trên hai tháng, ngày 13/06, bệnh nhân đã được Bệnh viện đa khoa Kiên Giang mổ TNTC, cắt vòi tử cung phải; về nhà vẫn đau bụng âm ỉ, nhưng không đến khám lại. Từ ngày 20/08, bệnh nhân đau bụng âm ỉ vùng hạ sườn phải, siêu âm phát hiện thai trong ổ bụng, chuyển Bệnh viện Từ Dũ.
Tại Bệnh viện Từ Dũ, siêu âm và chụp CT tại Trung tâm Medic, phát hiện một thai sống khoảng 22 tuần trong ổ bụng vùng dưới hoành phải (dưới gan phải). Kích thước khối thai là 12x15x17cm. Bánh nhau dày 47mm, xâm lấn gan phải và có mạch máu nuôi xuất phát từ động mạch gan phải. Chẩn đoán: thai dưới gan, chỉ định mổ lấy khối thai và tiên lượng cuộc mổ khó nên mời phẫu thuật viên Bệnh viện Chợ Rẫy kết hợp cùng mổ.
![]() |
|
Hình 5. Thai nằm dưới gan (ngôi ngược) |
![]() |
|
Hình 6. Thai trong ổ bụng. Thai ngôi ngược, có hình ảnh giống như thai trong tử cung nhưng không rõ hình tử cung, khối thai nằm dưới gan nên thấy đầu các xương sườn (Nguồn: ảnh phim Medic) |
Mở bụng ngày 30/08, có khoảng 200mL máu đã chảy trong ổ bụng, bề mặt gan nhẵn bóng, nhưng có khối lùng nhùng ở phân thùy VI, VII, VIII bị mặt trước của gan che lấp. Khi vén bờ trước dưới của gan, phát hiện thai bên trong, các gai nhau ăn sâu vào nhu mô gan, bám vào đến 2/3 gan. Mở túi thai, hút nước ối, lấy ra một bé gái khoảng 600g đã chết. Cắt rốn lấy thai và để lại bánh nhau nhưng bánh nhau tự bong khỏi gan, làm chảy máu nhiều. Tuy nhiên, khi lấy khối thai ra, dù đã để lại bánh nhau nhưng do bánh nhau tự bong ra và chảy máu rất nhiều, các phẫu thuật viên buộc phải quyết định lấy bánh nhau và cắt một phần gan do nhau bám vào đó. Đây là một kỹ thuật rất phức tạp và cầm máu vô cùng khó khăn. Các bác sĩ đã thực hiện buộc các mạch máu từ cuống gan, chèn gạc để cầm máu trong và truyền 8 đơn vị máu và huyết tương nhưng vẫn không thể kiểm soát được. Khoảng 15 phút sau, máu vẫn chảy nhiều ở diện gân đã cắt và bệnh nhân ngừng tim. Chẩn đoán phẫu thuật: thai dưới gan và tử vong do chảy máu. Nguyên nhân tử vong: chảy máu không cầm được.
Bệnh án 5
Bệnh nhân nữ 24 tuổi, chậm kinh 2 tuần, nghi có thai nhưng siêu âm tử cung không thấy túi thai trong tử cung hoặc khối cạnh tử cung.

Siêu âm phát hiện ở gan có ổ tròn đậm âm, kích thước 1,86cm, ở giữa có dịch.



Xét nghiệm β-hCG: 34.000 IU/L.
CT: có một ổ trong gan gần túi mật kích thước 2cm, ở giữa khối có dịch (giảm âm), được cung cấp máu từ động mạch gan.



Chẩn đoán thai dưới gan. Điều trị tiêm MTX, sau 2 tuần, xét nghiệm β-hCG trở về bình thường, không cần can thiệp ngoại khoa. Kết quả tốt do phát hiện sớm (Phan Thanh Hải và cs., 2007).
Bệnh án 6
Bệnh nhân nữ 38 tuổi, PARA 2002, mất kinh 3 tháng, thỉnh thoảng ra ít máu sẫm ở âm đạo, vào Bệnh viện Trung ương Huế ngày 12/05/2004. Trước khi vào viện 40 ngày, bệnh nhân mệt mỏi, chán ăn, đau tức hạ sườn phải. Siêu âm phát hiện khối u ở hạ phân thùy VI-VII theo dõi nang gan, chưa loại trừ áp xe. Bệnh nhân được điều trị theo hướng áp xe gan 10 ngày nhưng khối to lên, siêu âm lại phát hiện khối thai tương đương 11 tuần ở hạ phân thùy VI-VII, tim thai (-), chiều dài phôi 4,9mm, dịch trong túi thai trong. Túi thai có xu hướng phát triển vào nhu mô gan. β-hCG từ 10.000 IU/L tăng lên 60.000 IU/L; hút buồng tử cung có phản ứng màng rụng. Chụp CT: hạ phân thùy VI-VII có khối giảm tỉ trọng, hình oval, kích thước 5x6x7cm, cấu trúc không đồng nhất, bên trong có cấu trúc tăng tỉ trọng. Kết luận: thai dưới gan. Xử trí: chọc sinh thiết dưới hướng dẫn siêu âm, hút dịch ối, tiêm 25mg MTX vào túi thai. Giải phẫu bệnh: tổ chức tế bào nuôi. Sau 3 ngày, β-hCG 4.454 IU/L, siêu âm thấy túi thai nhỏ, chiều dài phôi: 3,4. Bệnh nhân được theo dõi và các triệu chứng trở về bình thường.
MỘT VÀI TRƯỜNG HỢP BÁO CÁO Y VĂN NƯỚC NGOÀI
Bệnh án 7
Năm 2012, Reena Yadav và cộng sự công bố một trường hợp 25 tuổi, sau sinh thường 9 tháng, chậm kinh 3 tháng, đau hạ sườn phải, nôn kéo dài 1 tuần. Bệnh nhân thiếu máu nhẹ, mạch 96 nhịp/phút, 90/54mmHg, bụng mềm nhưng chướng. Khám trong: âm đạo, cổ tử cung bình thường; tử cung bình thường, di động không đau; phần phụ không có khối; hCG (+). Siêu âm tử cung không có thai, tiểu khung bình thường, có dịch tự do ở ổ bụng. Có một túi thai 17-18 tuần dính liền với mặt trước của gan. Chẩn đoán là thai dưới gan. Chỉ định mổ vì nghi ngờ chảy máu trong ổ bụng. Mở bụng đường giữa sang bên hạ sườn phải. Ổ bụng có 500mL máu. Tử cung và phần phụ bình thường, máu đỏ tươi chảy ra từ diện nhau bám mắt trước gan. Lấy 1 thai 300g, buộc dây rốn và để lại bánh nhau nhưng chảy máu nhiều, đã cầm máu tại chỗ, thắt động mạch gan, cắt gan nhưng sau mổ chảy máu nhiều, thiểu niệu và tử vong ngày thứ 5 sau mổ mặc dù đã truyền 76 đơn vị máu.
Bệnh án 8
Năm 2012, Chenglin Wang và cộng sự báo cáo một trường hợp (năm 2007): bệnh nhân nữ 33 tuổi, vô sinh, vào viện với hội chứng cấp tính vùng bụng, chậm kinh 49 ngày và ra huyết âm đạo kéo dài 14 ngày, không buồn nôn, ra ít huyết đen, đau bụng âm ỉ vùng thượng vị, mạch 80 nhịp/phút, huyết áp: 133/80mmHg. Bụng mềm không chướng, nhưng hạ sườn phải ấn tức. Phụ khoa hoàn toàn bình thường, β-hCG 8,988 IU/L. Siêu âm không có thai trong tử cung, tiểu khung hoàn toàn bình thường nhưng có nhiều dịch trong ổ bụng. Chụp CT: giữa bờ gan phải với dạ dày có khối, độ đậm âm vừa, bờ nhẵn và rõ ràng nhưng ở giữa đậm âm thấp và không đều. Chụp CT cho thấy một ổ bờ rõ nhưng bên trong trống âm ở thì mạch máu. Chụp MRI có một khối bất thường, hình tròn nằm giữa thùy trái của gan và dạ dày, có hình chiếc nhẫn, bờ dày nhưng không đều và ở giữa không đậm âm ở thì mạch máu. Mở bụng, có 1.000mL máu trong ổ bụng, khối dưới gan vỡ lẫn máu cục ở bờ trước bên thùy phải của gan và dạ dày. Khối thai dính bờ trước của thùy gan trái, dây chằng gan và màng dính với bờ cong dạ dày. Sau khi lấy máu cục, thấy rõ gai nhau. Cắt bỏ màng, mạc treo, một phần gan. Mô bệnh học thấy gai nhau trong và tổ chức gan trong bệnh phẩm và chẩn đoán cuối cùng là thai ở dưới gan.
Bệnh án 9
Bệnh nhân nữ 25 tuổi vào viện vì đau và có khối ở mạng sườn phải. Mất kinh 28 tuần. Khám tiểu khung bình thường, tử cung tương đương thai 8 tuần. Khám bụng thấy một khối trong ổ bụng, nằm bên hạ mạng sườn phải giữa vùng rốn và cột sống, mật độ mềm, phần trên có cảm giác mềm như một nang, tuy nhiên, phần dưới của khối lại cứng, nghe có tiếng đập. Chức năng gan bình thường. Chụp X-quang tư thế thẳng thấy hình thai ở giữa bụng. Chụp tử cung-vòi tử cung: tử cung to, hai vòi tử cung bình thường. Khối ở mạng sườn phải tách biệt với tử cung. Mở bụng theo đường trắng bên bên phải. Túi thai dính mặt dưới gan. Một thai trai sống nặng 1300g, nhưng tử vong sau 30 phút, giải phẫu bệnh không có dị dạng hay bất thường khác. Bánh nhau dính với thùy gan phải. Thùy gan trái bình thường. Tử cung tương đương thai 8 tuần, nạo buồng tử cung thấy có phản ứng màng rụng. Sau mổ, bệnh nhân được điều trị MTX .
BÀN LUẬN
Cho đến năm 2007, y văn thế giới thông báo ghi nhận được 23 trường hợp TNTC có liên quan đến gan. Đây là một hình thái rất hiếm gặp của TNTC. Thuật ngữ “thai trong gan” vẫn quen dùng từ trước đến nay là chưa đúng, tuy nhiên cũng cần phân biệt (có thể) với một thai sinh đôi, một thai bị cuộn và nằm trong gan trong quá trình phát triển của thai nghén, nhưng vô cùng hiếm và sẽ tạo thành một khối u trong gan và rất có thể sẽ tiến triển thành thai hóa đá. Những trường hợp như vậy không phải là TNTC. Thuật ngữ thai làm tổ dưới gan được sử dụng tiếng Anh là “hepatic ectopic pregnancy” và khi siêu âm hay nói thai trong gan. Nhưng chúng tôi thấy dùng như vậy là chưa chính xác vì khi trứng lạc chỗ và làm tổ tại mặt dưới của gan, các gai nhau đục thủng nhu mô gan và phát triển thành khối mà chỉ một phần túi thai nằm trong nhu mô gan còn phần lớn túi thai là nằm trong ổ bụng vì vậy nên sử dụng thuật ngữ “thai dưới gan – ectopic Pregnancy below liver” thì chính xác hơn. Thai nằm dưới gan – một nơi rất giàu các mạch máu, cực kỳ hiếm, chỉ khoảng 0,01%. Thai nhi vẫn được bảo vệ vì nằm trong túi ối và được cung cấp máu qua bánh nhau nhưng các gai nhau phát triển vào trong gan nên nguy cơ chảy máu cao và khó cầm máu khi lấy khối thai.
Tiêu chuẩn đầy đủ để chẩn đoán thai dưới gan bao gồm: những triệu chứng khởi đầu đau vùng thượng vị và hội chứng dạ dày ruột, đôi khi hội chứng của viêm túi mật. Chính những dấu hiệu này làm cho bệnh nhân không hoặc chậm khám phụ khoa để phát hiện có thai ngay cả khi họ có chậm kinh. Tuy nhiên phối hợp siêu âm, chụp CT và MRI có thể chẩn đoán đoán sớm thai dưới gan; không những thế, còn có thể xác định vị trí của khối thai và liên quan đến giải phẫu của gan, định hướng cho điều trị và can thiệp ngoại khoa hoặc là mức độ xâm lấn của gai nhau dự kiến thời điểm can thiệp ngoại khoa, khả năng để lại / lấy bánh nhau. Phần lớn các báo cáo đều nói nhau bám vào mặt trước của gan và bên phải - nơi giàu mạch máu cung cấp cho thai sống, đồng thời cũng gây khó khăn khi can thiệp và nguy cơ chảy máu rất cao, cho nên hầu hết các tác giả đều khuyên để lại bánh nhau.
Năm 1983, Hietala SO và cộng sự thông báo một trường hợp TNTC trong gan được phát hiện qua chụp động mạch (angiographic) ở một phụ nữ 23 tuổi; mở bụng thăm dò vì chảy máu cấp, phát hiện một khối kích thước 3x3cm bám vào bề mặt gan phải. Khối này được loại bỏ và mô bệnh học kết luận là TNTC. Sau mổ 10 ngày, bệnh nhân được chụp động mạch gan thấy tăng sinh các mạch máu ở thùy gan phải - nơi khối thai cư trú. Phần lớn thai trong gan đều chết thậm chí còn gây tử vong cho thai phụ, tuy nhiên cũng có những trường hợp hãn hữu như ngày 23/05/2003, hãng tin BBC đã cho biết về một trường hợp thai dưới gan ở Nam Phi đã được mổ lấy thai nặng 2,8kg. Đây là em bé sống sót duy nhất trong khoảng hơn 20 trường hợp thai nằm ở dưới gan trên toàn thế giới.
Khai thác tiền sử: hầu hết bệnh nhân đều không được khai thác chi tiết và cẩn thận tiền sử về triệu chứng đau bụng (bệnh án 2, bệnh án 4), nhất là dấu hiệu đau hạ sườn. Đặc biệt, có bệnh nhân đã được mổ TNCT cắt vòi tử cung trong khi thai dưới gan đã được 4 tháng tuổi.
Những bệnh nhân phát hiện muộn đều được đi khám thai trong 12 tuần đầu nhưng siêu âm đường âm đạo nên không phát hiện ra thai dưới gan. Ngay cả khi TNTC ở vùng tiểu khung thì cũng có 5% khối thai nằm vượt xa khỏi tầm phát sóng của đầu dò máy siêu âm khi thực hiện qua đường âm đạo. Chẩn đoán thường là muộn khi sờ nắn thấy khối thai dưới thành bụng, vùng dưới gan hoặc là tai biến chảy máu xuất hiện nên điều trị rất khó khăn và dễ bị tử vong do mất máu. Vì vậy, khi siêu âm đầu dò âm đạo không phát hiện được dấu hiệu thai trong hoặc ngoài tử cung mà nồng độ hCG cao, chứng tỏ có thai và thai đang phát triển thì có thể nội soi thăm dò để tránh bỏ sót. Khuyến cáo này cũng đã được Vương Tiến Hòa nhấn mạnh trong nghiên của tác giả vào năm 2002. Hình ảnh khối cạnh tử cung do máu cục đã làm cho chẩn đoán nhầm là TNTC và rất ít khi siêu âm toàn ổ bụng nếu được chỉ định siêu âm vì TNTC (bệnh án 4).
Khi nồng độ β-hCG cao mà không thấy thai trong tử cung hoặc vùng tiểu khung, nên siêu âm toàn ổ bụng đặc biệt là dưới gan. Khi đã chẩn đoán thai dưới gan, nếu nhỏ có thể điều trị bằng MTX (như Bệnh viện Hùng Vương hay Bệnh viện Trung ương Huế cũng có kết quả tốt). Năm 2002, một trường hợp thai trong gan đã được ghi nhận tại Bệnh viện Hùng Vương. Tuổi thai được 2 tháng và cũng đã được xử lý thành công bằng tiêm MTX. Việc sử dụng MTX để điều trị TNTC rất có hiệu quả nếu phát hiện sớm, đặc biệt các thể dưới gan. Chúng tôi cho rằng trong bệnh án 4, nhau bám nhiều vào gan, có lẽ khi mổ đã co kéo nhiều làm cho bánh nhau bong nên gây chảy máu vì nhau không nằm trong buồng tử cung, không có sự co cơ tử cung thì nhau không thể bong được. Trong trường hợp này, nếu thai đã chết hoặc là hi sinh thai có hay chăng nên điều trị bằng MTX để tiêu diệt nguyên bào nuôi, sau đó tiến hành lấy thai sau để tránh một tổn thất quá lớn là cả mẹ và con đều tử vong. Theo chúng tôi, cũng có thể điều trị ở bệnh án số 2 bằng MTX.
Vì là một cấp cứu nên khi mổ nội soi, nếu không thấy khối thai ở tiểu khung, hãy quan tâm ngay vùng dưới gan rồi mới đến các vị trí khác.
Khi chẩn đoán thai dưới gan, cần phối hợp với ngoại khoa để hội chẩn chính xác, bàn định kế hoạch và những tình huống có thể xảy ra để xử trí chủ động. Chúng tôi cho rằng mặc dù có chuẩn bị nhưng bệnh án 4 xử trí vẫn bị động. Việc lấy nhau luôn luôn là nguy cơ rất cao gây chảy máu dẫn đến tử vong. Moir và Myerscough (1971) cực lực phản đối lấy nhau và khuyên buộc dây rốn để bánh nhau tự tiêu. Việc để lại bánh nhau trong ổ bụng trước mắt chống chảy máu nhưng phải chấp nhận khả năng nhiễm khuẩn rất cao, áp xe ổ bụng, dính và khả năng gây tắc ruột. Pritchard và Macdonald (1976) đã thấy chứng cứ rõ ràng xuất hiện bệnh lý đông máu sau khi mổ lấy thai 2 tháng bao gồm giảm fibrin. Sử dụng MTX với mục đích diệt nguyên bào nuôi, bánh nhau tự tiêu nhanh hơn, ngay cả những trường hợp tiên lượng thai nhi có thể chết cũng nên sử dụng MTX trước khi mổ. Ngay từ năm 1965, Hreshchyschyn và cộng sự cũng đã đề cập đến điều trị MTX trong những trường hợp thai dưới gan.
Cần có một kíp phẫu thuật có trình độ và kỹ năng tốt bao gồm sản khoa, ngoại khoa và gây mê hồi sức với đầy đủ phương tiện để hồi sức, đặc biệt là truyền máu.
Cần phải khám thai sớm và xét nghiệm β-hCG.
KẾT LUẬN
Thai dưới gan là một hình thái của thai trong ổ bụng, tuy hiếm gặp nhưng thường chẩn đoán muộn, xử trí khó khăn vì liên quan đến gan, chảy máu nhiều, nguy cơ tử vong cao, vì vậy cần phải khám thai sớm và xét nghiệm β-hCG phối hợp với siêu âm cẩn thận để chẩn đoán sớm sẽ có phương pháp điều trị kịp thời và thích hợp giảm nguy cơ chảy máu. Nếu phát hiện sớm, khối thai nhỏ nên điều trị bằng MTX.

Hình 7. Hình ảnh thai dưới gan
TÀI LIỆU THAM KHẢO
1. Primary hepatic pregnancy
2. Bạch Cẩm An, Lê Sĩ Phương và cộng sự (2004). Nhân một trường hợp thai làm tổ trong gan. Nội san Sản Phụ khoa. Số đặc biệt Hội nghị đại biểu Hội Sản Phụ khoa và Sinh đẻ có kế hoạch Việt Nam, khóa XV; 29-31.
3. Chui AK, Lo KW, Choi PC, Sung MC, Lau JW (2001). Primary hepatic pregnancy. ANZ J Surg; 71(4):260-261.
4. Lê Trường Thọ và Lê Quang Vinh (2008). Nhân một trường hợp thai ngoài tử cung ở gan. Tạp chí Gan Mật Việt Nam; 34-36.
5. Norenberg DD, Gundersen JH, Janis JF, Gundersen AL (1977). Early pregnancy on the diaphragm with endometriosis. Obstet Gynecol; 49(5):620-622.
6. Phan Thanh Hải và cộng sự (2007). Thai trong gan. Hội Y học TPHCM; 10-11.
7. Ramphal SR, Moodley J, Rajarutham D (2010). Hepatic pregnancy managed conservatively; 41:121-122.
8. Reena Yadav S, Chitra Raghunandan, Swati Agarwalhilpa Dhingra and Sarita Chowdhary (2012). Hepatic ectopic pregnancy J Emerg Trauma Shock; 5(4):367-369.
9. Shuklal VK, Pandey S, Pandey LK, Roy SK and Vaidyal MP (1985). Primary hepatic pregnancy Postgraduate Medical Journal; 61,831-832.
10. Vương Tiến Hòa (2012). Thai trong ổ bụng. Chẩn đoán và xử trí thai ngoài tử cung. Nhà xuất bản Y học; 217-226.
11. Wang Chenglin, Cheng Lin, Zhang Ziqin, Yuan Zhidong (2012). Imaging diagnosis of hepatic ectopic pregnancy: a report of one case. Intractable & Rare Diseases Research; 1(1):40-44.
Các tin khác cùng chuyên mục:
TIN CẬP NHẬT
TIN CHUYÊN NGÀNH
LỊCH HỘI NGHỊ MỚI
Năm 2020
Thành phố Đà Nẵng, thứ sáu và thứ bảy, ngày 6 - 7 . 3 . 2026
Năm 2020
Thứ bảy ngày 22 . 11 . 2025 (9:30 - 12:00), khách sạn Equatorial (số ...
Năm 2020
New World Saigon Hotel, thứ bảy ngày 17 tháng 01 năm 2026
GIỚI THIỆU SÁCH MỚI
Sách ra mắt ngày 14 . 11 . 2025 và gửi đến quý hội viên trước ...
Ấn phẩm CẬP NHẬT KIẾN THỨC VỀ QUẢN LÝ SỨC KHỎE TUỔI MÃN ...
Y học sinh sản được phát ngày ngày 21 . 9 . 2025 và gởi đến ...
FACEBOOK
.png)
.png)
.png)
.png)
.png)
.png)

