Mọi sao chép, trích dẫn từ toàn bộ bài báo cáo phải được sự đồng ý của HOSREM hoặc của tác giả.
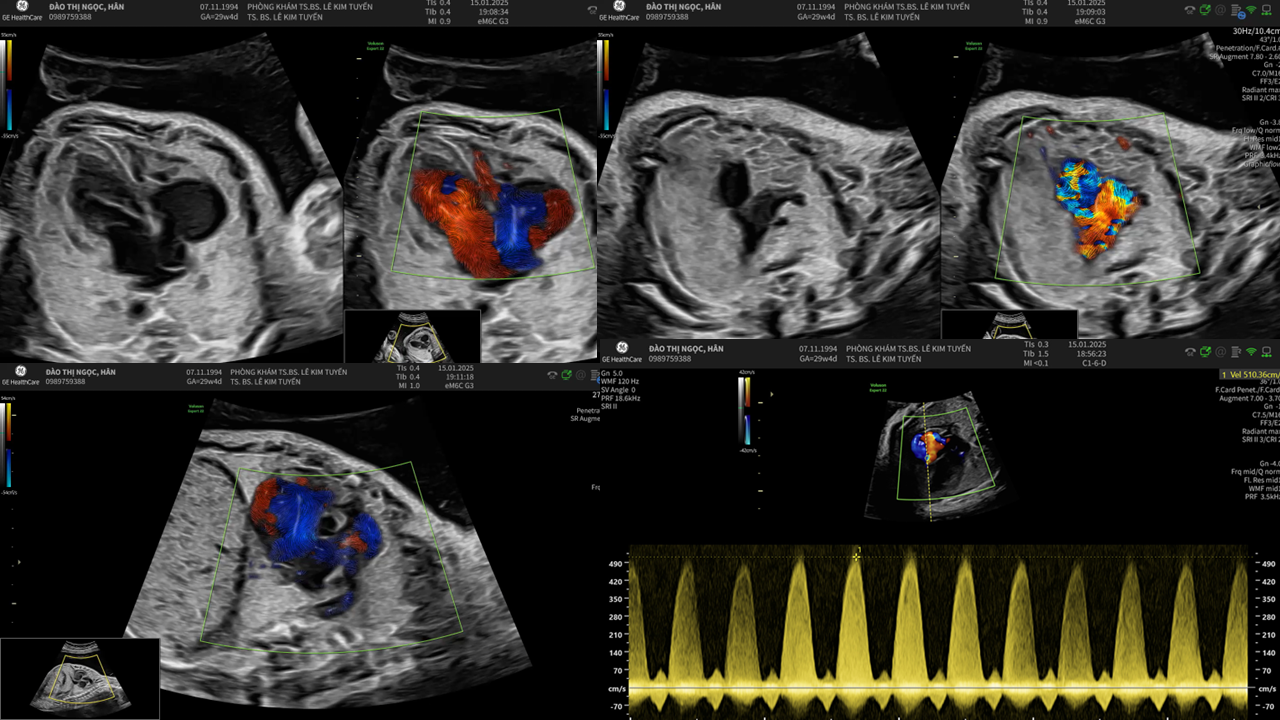
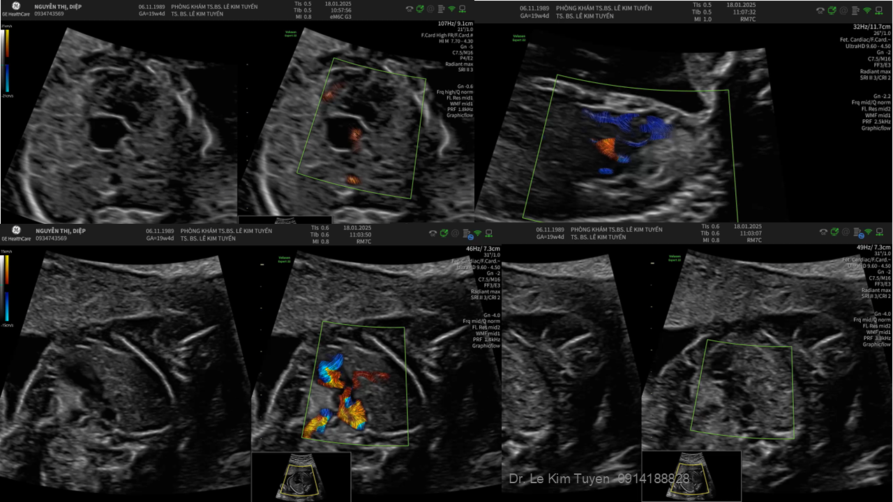
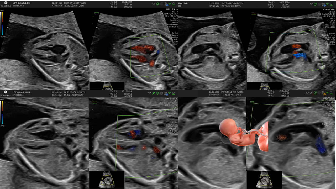
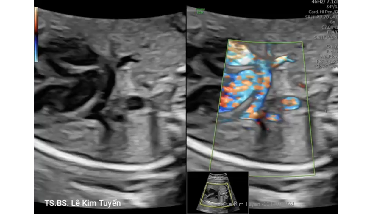
Áp dụng công nghệ Graphicflow trong phát hiện bệnh tim bẩm sinh cần cấp cứu sơ sinh
TS. BS. Lê Kim Tuyến
Bệnh viện Tim Tâm Đức
Trường Đại học Y khoa Phạm Ngọc Thạch
Bệnh viện Tim Tâm Đức
Trường Đại học Y khoa Phạm Ngọc Thạch